ma túy đá, meth.
- Một số thông tin về meth
- Trắc nghiệm về meth
- Lịch sử về meth
- Điều trị meth
- Có phải bạn đã nghiện ma túy đá?
- Tác hại của ma túy đá
- Dấu hiệu nhận biết sử dụng ma túy đá
- Ma túy đá và tự sát
- Ma túy đá và mất trí
- Báo động sử dụng cùng lúc nhiều loại chất gây nghiện
- Những ảnh hưởng xấu của ma túy đá
- Thuốc lắc
- Phòng chống tái nghiện
- Ma túy đá và sex
- Hỏi đáp về ma túy đá
- Điều trị nghiện rượu
- Điều trị nghiện heroin
- Ma túy đá và bạo lực
- Ma túy đá và ảo giác côn trùng bò dưới da
- Ma túy đá và bệnh tim mạch
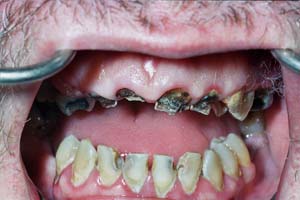
- Ma túy đá và bệnh răng miệng
- Báo động tình trạng sản xuất ma túy đá
- Rối loạn tâm thần liên quan đến ma túy đá
- Nghiện là một bệnh của não
- Học cách chiến thắng bản thân
- Điều trị các bệnh lý CK tâm thần
- Điều trị nghiện thuốc lá
- Điều trị lạm dụng cần sa

khám, tư vấn miễn phí.
Tác hại của ma túy đá
Lạm dụng chất gây ra hơn một nửa số tử vong trên đường cao tốc
Một nghiên cứu gần đây đã chỉ ra một số tin tức gây sốc; hơn 50% người lái xe ở Mỹ thiệt mạng trong vụ tai nạn xe hơi có liên quan đến ma túy hoặc rượu tại thời điểm xảy ra tai nạn.
Lạm dụng chất gây nghiện gây khó khăn trong điều trị ung thư tiền liệt tuyến
Những người đàn ông bị ung thư tuyến tiền liệt và có vấn đề về lạm dụng ma tuý sẽ mắc nhiều biến chứng hơn những người không lạm dụng rượu hoặc ma túy, theo một nghiên cứu mới. Các nhà nghiên cứu đã xác định rằng những người đàn ông bị ung thư tuyến tiền liệt và đồng thời có hành vi lạm dụng chất kích thích đang có phản ứng bất lợi trong việc điều trị.
Người mẹ sử dụng ma túy đá sẽ gây hại cho đứa con
Những đứa trẻ được sinh ra bởi các bà mẹ sử dụng ma túy đá khi đang mang thai sẽ có nguy cơ mắc phải các biến chứng nguy hiểm cao hơn so với những đứa trẻ khác (sinh con thiếu tháng, chết ngay sau khi sinh ...)
Những tác dụng phụ nguy hiểm do hút ma túy đá
Meth có thể gây ra một số vấn đề về sức khỏe tâm thần, bao gồm lo lắng, bứt rứt, khó chịu. Meth có thể làm cho người sử dụng hành động một cách kỳ lạ. Một số trong những biểu hiện này gồm có
5 cách Meth phá hủy tinh thần và thể chất
Meth là một trong những chất gây nghiện mạnh nhất trên hành tinh này, gây ra sự giải phóng dopamine trong não mạnh gấp 3 lần so với cocaine và 10 lần so với khoái cảm tình dục.
Ảnh hưởng của meth tới người sử dụng và cộng đồng
Trong khi 50 % cocaine được nhanh chóng chuyển hóa và loại bỏ khỏi cơ thể chỉ trong một giờ, nhưng meth được loại bỏ cùng một lượng tương tự sau 12 giờ. Điều này cho thấy meth lưu lại trong não lâu hơn và do đó có tác dụng kéo dài
Tác hại MDMA
MDMA gây hội chứng serotonine, hạ Natri máu, "hồi tưởng" flashbacks, hội chứng Parkinson, rối loạn tâm thần mãn tính, vàng da, xuất huyết dưới nhện, nhồi máu não
Hậu quả sử dụng ma túy đá kéo dài
Vì không biết rõ mức độ tinh khiết của ma túy đá ngoài đường phố nên quá liều rất có thể xảy ra cho bất cứ ai. Một lượng nhỏ "đá" cũng có thể gây quá liều cho những ai có dị ứng mạnh với methaphetamine.
Tác hại của ma túy đá
Ma túy đá là một loại ma túy kích thích gây nghiện mạnh. kích thích rất mạnh hệ thống thần kinh, làm tăng nhanh tín hiệu về não cũng như từ não đi. MA TÚY ĐÁ mạnh hơn các chất dạng amphetamine khác.
Thông tin liên quan
- Triệu chứng côn trùng bò dưới da ở người đập đá
- Có nên tự cai nghiện một mình?
- Tại sao chúng ta cần trợ giúp chuyên khoa và thuốc theo đơn
- Đồng tính
- Tại sao sức khỏe tinh thần lại quan trọng?
- Đừng để người bệnh tâm thần mãi cô đơn
- Quản lý tức giận ở trẻ ADHD
- Đừng nhầm các triệu chứng tăng động giảm chú ý (ADHD) là hành vi xấu
- Chiến lược giúp cho cha mẹ ngưng chì trích trẻ tăng động giảm chú ý
- Nhiều bệnh tâm thần dễ nhầm với bệnh khác
- Triệu chứng côn trùng bò dưới da ở người đập đá
- Có nên tự cai nghiện một mình?
- Tại sao chúng ta cần trợ giúp chuyên khoa và thuốc theo đơn
- Đồng tính
- Tại sao sức khỏe tinh thần lại quan trọng?
- Đừng để người bệnh tâm thần mãi cô đơn
- Quản lý tức giận ở trẻ ADHD
- Đừng nhầm các triệu chứng tăng động giảm chú ý (ADHD) là hành vi xấu
- Chiến lược giúp cho cha mẹ ngưng chì trích trẻ tăng động giảm chú ý
- Nhiều bệnh tâm thần dễ nhầm với bệnh khác
Bạn hãy nói với chúng tôi
